療程項目
6d立體鼻雕
洢蓮絲
優立柔肉毒
皮秒雷射
立提音波
韓妞玻尿酸
藍鑽魚骨線
鳳凰電波
症狀困擾
臉部線條
雙下巴
鼻線
下巴
肌膚
毛孔
痘疤
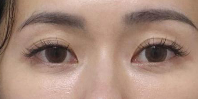
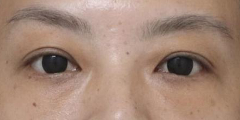
眼部
眼角下垂
眼周凹陷
黑眼圈
身體線條
肩膀
腰間肉
腿
關於銀河星辰
醫師團隊
關於我們
最新消息
聯絡我們
主要成因為黑色素沉澱
先天:眼眶凹陷
後天:時間造成蘋果肌流失眼眶骨質流失
主要成因為血液循環,用眼過度、鼻子過敏患者、熬夜等導致眼周血液循環不佳。
眼下肌膚顏色呈現紫藍色,尤其陽光下更為明顯
以上問題同時存在,眼下暗沉、眼眶骨凹陷、血管明顯
主要成因為長期熬夜、壓力大、遺傳性黑眼圈、年增長等